石田ようこ 犬と猫の歯科クリニックTOP > その他の口腔疾患
その他の口腔疾患
歯肉口内炎(猫)
若い猫さんにも起きる事がある口内炎です。
歯周病とは違い、歯の周りだけではなく歯のない箇所にもどんどん炎症が広がります。
その炎症が舌の付け根や喉の入口まで広がると水やごはんが飲み込めず、痛みでパニックになることもあります。
内服でのコントロールはなかなかに難しく、抜歯をすることで痛みがなくなりとても快適になります。
ステロイドによる治療を漫然と続けると、抜歯の治療効果が低くなることが分かっていますので、内科治療に反応しない場合には早期の抜歯をおすすめします。
-

術前
10ヶ月齢の若猫さんですが、ごはんを食べるとギャァァァとのたうち回りパニックになります。
-

術前
のどまで真っ赤に腫れ上がっていて、これでは食事はつらいことでしょう。
-

抜歯5ヶ月後
問題なく食事が摂れています。
-

抜歯5ヶ月後
喉の奥もスッキリしました。
接触性口内炎(犬)
汚れている歯に触れる頬の粘膜などに炎症が起き、触れるだけで痛い・膿が出る・簡単に出血する、頬が固くなり口が上手く開けられなくなる、などの症状が見られます。
ほんの少しの歯垢や歯石に敏感に反応する事が多く、ブラッシングでのお手入れが必須なのですが、痛くてきちんと出来ないということも多く、抜歯をすることで口内環境が整い痛みがなくなって快適に過ごせるようになったというお声を頂戴します。
-

初診時
顕著な歯肉炎が見られます。
-

初診時
歯が触れる頬粘膜にびらんが起きています。
麻酔下で徹底的な口腔内清掃をするときれいに治りましたが、自宅ケアで少しでも歯垢の取り残しが出来るとまたすぐに再発し、かなり歯垢にデリケートなタイプのようです。 -

初診時
歯の表面の汚れや歯肉炎の状況は軽度ですが、長期に渡る口内炎で頬の粘膜が分厚く硬くなり凹凸も出来ています。口を開けるだけで出血し、痛くてあくびができなくなりました。
-

投薬治療中
内科治療中(ステロイドは使用していません)。頬粘膜に柔軟性が戻りました。
歯垢をためないよう、歯みがき教室にてブラッシング練習も続けています。 -

術前
歯周病は中程度ですが…頬の奥がただれています。
-

術前
麻酔下での清掃で一旦はすっきりと良くなるのですが、痛みの記憶からか自宅での歯みがきは継続困難で再発を繰り返すため全抜歯を選択しました。
-

治療後
赤みはすっかりなくなり、快適です。
-

治療後
痛かった頬の口内炎はなくなりました。性格もとても穏やかになったとのことです。
歯牙吸収病巣(犬・猫)
虫歯ではないのに、歯に穴が開いて痛みが出たり、歯が脆くなって折れたりする病気があります。
(残念ながらまだ原因・予防法・進行を止める方法など究明されていない病気です)
痛みが強く食事がままならない場合には、抜歯により改善が期待できます。
-

症例(猫1)
猫さんです。
一見真ん中の歯が折れただけのように見えますが… -

症例(猫1)X線
X線で確認すると両隣の歯も溶けてきています。
痛みの原因になるので全部抜歯となりました。 -

症例(猫2)
歯を覆い隠すように歯肉が伸びてくることがあります。
-

症例(猫3)X線
X線では歯の密度が低くなり、一部は溶けてなくなっています。もろくなって歯が折れると痛みの原因になることがあります。
-

症例(犬1)
犬さんです。下顎の歯は一見普通に見えますが…
-

症例(犬1)X線
X線を撮ってみると、歯根は著しく変質し骨との境目が分からなくなっています。
-
症例(犬1)X線
口腔内腫瘍(犬・猫)
犬猫さんのお口の中にも人と同じように腫瘍ができることがあり、歯科治療中に歯の裏側や喉に偶然発見することもよくあります。
良性・悪性様々な種類があり、治療を進める上ではしっかりと診断をすることが重要になります。
良性の場合には切除することで大半が解決しますが、悪性の場合には切除後に化学療法、放射線療法などを組み合わせて根治・緩和を目指します。高度治療が必要な場合には二次診療施設(大学病院や専門病院)をご紹介しております。
-

症例(猫)1
一見重度の歯周病に見えますが、下顎に歪みが出ておりX線撮影したところ、骨に異常が見つかり腫瘍科に紹介となりました。
扁平上皮癌でした。 -

症例(猫)2
半年以上歯周病治療を継続していた転院症例。
触診で下顎骨の厚みが増していたことからX線撮影をしたところ腫瘍が疑われたため即日腫瘍科に紹介しました。扁平上皮癌でした。 -

症例(犬)
転院症例、抗菌薬で歯周病治療をしていましたが改善しないとのご相談でした。
口の中に大きな腫瘤がありました。腫瘤表面の状況から腫瘍と判断し即日腫瘍科へ紹介となりました。
含歯性嚢胞
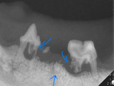
本来外に生えてくるべき部分(歯冠部)が全く外に出てこず顎の骨の中に埋もれたままになっていることがあります。
その一部は含歯性嚢胞といって埋もれた歯の周りに水たまりを作り骨が溶ける病変を作ってしまうことがあります。
特に下顎の犬歯で起きた場合には骨折を引き起こすことが多く、早急に抜歯する必要があります。埋もれている歯の有無は見た目では分からず、診断には口腔内X線撮影が必要です。
-

右下の犬歯が見当たりませんが、すこし膨らんでいるようにも見えます。
-

下側が右下顎で大きな犬歯が存在しています。歯冠部外側(↑矢印部)の骨は大きく膨らみペラペラになっています。
-

角度を変えた撮影でも歯冠部周辺に風船のように膨らんだ薄い骨が確認できます。(↑矢印部)
かなり変化していますが骨折を引き起こす前に抜歯することが出来ました。
不正咬合
乳歯が適切な時期に生え変わらないとかみ合わせが悪くなり、口の中を傷つけたり、
歯周病になりやすくなったりします。
乳歯期の歯並びは永久歯の歯並びに大きく影響しますから、愛犬・愛猫を迎えたら、是非かみ合わせチェックをお受けになって下さい。
乳歯の歯並びが悪い場合や永久歯への交換が順調に進まない時には適切な時期に乳歯を抜歯してあげることで永久歯のかみ合わせを整えることが可能ですし、歯列矯正も可能です。
-

正常咬合
犬の正常咬合です。
人と同じように上の前歯が前、下の前歯が後ろに噛み合うのが一般的です。 -

不正咬合クラスⅠ
上下の顎の長さは正常ですが、一部の歯がずれて生えてしまいぶつかっています。
そのような歯はぶつかって欠けたり歯周病になりやすいです。 -

不正咬合クラスⅡ
下顎が短いため下の犬歯は正しい上顎の隙間に入り込むことが出来ず、上顎に刺さっています。下の犬歯を短く切って被せ物をつける歯冠短縮術を行うと上顎が傷つかなくなります。
-

不正咬合クラスⅢ
短頭種では一般的なかみ合わせで、下顎が長く、下の切歯が上の切歯より前に出ています。
口内を傷つけるなどのトラブルは少なめです。




