石田ようこ 犬と猫の歯科クリニックTOP > 歯周病
歯周病
歯周病とは
現代の食生活では犬猫さんも人間と同じく口腔ケアが必要です。
3歳以上の犬の80%以上が歯周病にかかっていると言われています。
(超小型犬が多い日本では90%以上とも言われています。人は55歳以上で約60%です。)
猫さんは歯周病に加え口内炎も多く、痛みで食事や飲水がままならない場合もあります。
歯石が少ないからまだ大丈夫、と言われ重症化する例も多数お見かけします。
見た目の汚さと歯周病の重症度は全く関連がありません。
歯周病は歯そのものの病気ではなく、歯の周りの組織(歯肉・顎の骨など)が失われていく感染症ですから重要なのは顎の骨です。
顎の骨や歯根の状況を確認することで初めて重症度の診断がつき、治療方針が決められます。
ですので正しい診断には歯科X線検査・プロービング検査が必須です。(いずれも麻酔下での検査になります。)
残念なことに歯周病は「静かな病気」と言われる位に進行に気づきにくく、虫歯と違って痛みを感じにくいのが厄介なところです。
口は臭いけど、ごはんも食べられているし、全身麻酔は嫌…と様子を見すぎると、いよいよの時には既に顎の骨が折れていたということも決して珍しくありません。
歯周病で歯の土台を失うと元に戻すことは非常に困難ですが、早くから適切な口腔ケアを行うことで健康な歯肉を保ち続けることは可能です。悪くなってから治療ではなく、ぜひ予防に力を入れて頂きたいと私達は考えています。
ぜひ一度、歯科診察をお受けになって下さい。
抜かない治療
歯を抜かない歯周病治療には、歯周基本治療と歯周外科治療の2つがあります。
いずれも、当院では裸眼での治療は一切行っておりません。
サージカルルーぺ(拡大鏡)やマイクロスコープ(顕微鏡)による拡大視野にて精緻な治療を実施しています。
歯周基本治療は歯科器具を使って、歯肉縁上や歯周ポケット内に溜まっている歯垢や歯石の除去を行います。
-
縁上スケーリング
歯冠部(歯肉より外に出ている歯)の歯垢歯石除去。
-
縁下スケーリング
歯肉縁下(歯周ポケット)の歯垢歯石除去。この縁下スケーリングが歯周病治療にはとても重要で、無麻酔治療では実施できません。
-
ルートデブライドメント・キュレッタージ
歯周病が進行している箇所にのみ実施します。歯の根っこ部分の歯垢歯石除去や不良組織の掻爬をし、歯周組織の再生を促します。
-
歯面研磨
歯の表面を磨き上げて歯垢の再付着を軽減します。
歯周基本治療
歯周病治療は病院での治療後の自宅ケア(歯ブラシによるブラッシング)が特に大切です。
麻酔下での定期メンテナンスの間隔は、自宅ケアの状況により6ヶ月〜3年ごとと大きく変わります。
-

術前
上犬歯の内側は一見きれいですが…
-

術中
マイクロスコープを用いて拡大してみると深い歯周ポケットの中は歯石だらけです。
-

治療後
根っこの表面を徹底的にきれいにすることで回復が見込めます。
歯周外科
歯周基本治療を行っても改善が乏しい場合や、歯周ポケットがかなり深い場合には歯周外科が必要になります。
歯周外科には、歯周ポケットを浅くする目的で行う「歯肉切除」や、歯肉を切開して歯根部・歯槽骨を露出させた状態で根面清掃を行い、縫合する「オープンフラップデブライドメント法」などがあります。
-

術前
矢印の歯肉の色が悪くなんだか怪しい…
-

治療前X線
X線で確認するとやはり根っこの周りの骨が歯周病によりなくなっています。
-

オープンフラップデブライドメント
オープンフラップデブライドメント開始。歯肉を切開してみると、あるべき骨はなく根っこが露出していて歯石まみれになっています。
-

オープンフラップデブライドメント完了
マイクロスコープを用いて根っこの表面を徹底的に清掃します。
-

縫合完了
歯肉を縫合して元に戻し治療終了。
-

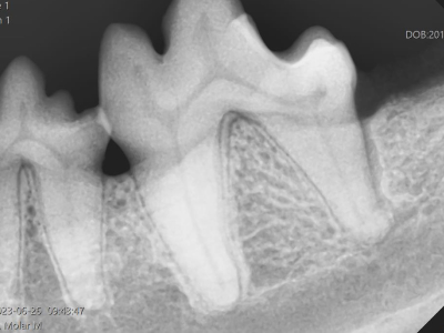
治療5ヶ月後X線
5ヶ月後のX線で骨が再生してきているのが確認できます。
これで大事な噛む時に必要な歯を維持できます。
再生治療
歯周病により歯周組織(顎の骨や歯根膜)が大きく失われた場合に歯周組織を再生させる治療も可能です。
歯周外科を実施して歯根の表面をきれいにした後、周囲に特殊な薬剤を満たし歯肉縫合をすることで歯周組織の再生を促します。
歯周組織再生治療を行った後は術後3〜6ヶ月後で、歯周組織の再検査・再評価を行います。
良い状態を維持するには自宅でのブラッシング(歯ブラシによる)が重要です。
-

術前
見ためはとてもきれいで正常に見えますが…
-

治療前X線
X線を撮ってみると歯の後ろ側の骨が歯周病によりなくなっています。
-

歯周組織治療薬(リグロス)注入
オープンフラップデブライドメントを実施し、特殊なお薬を塗布し閉じ込めます。
-

治療1年後
1年後のX線では見事に骨が再生しています。
抜歯
歯周病が重度になると、歯周基本治療と自宅での歯磨きでは良い状態を維持することが難しくなります。
歯周病が進行すると顔が腫れたり、皮膚に穴が空いたり、顎の骨折を起こす原因になってしまいます。
重度歯周炎でも歯周組織再生治療などで歯を温存できる場合もありますが、動揺が激しく温存が難しい場合、自宅での歯磨きが出来ない場合には抜歯が必要になることがあります。
-

症例1
歯周病が重症化し、膿が頬を突き破って出てきています。
-

症例1
歯は歯石に覆われ歯肉の退縮も著しいです。
-

症例1
X線では上顎の骨が溶けてなくなっています。感染源を取り除き顎の骨を守るために上顎全抜歯となりました。
-

症例2
重度の歯周病により下顎先端の骨がなくなり、左右の顎が外れてしまいました。手足の骨折と違い繋げ合わせたい箇所の骨は既に失われているため、繋げ直すことが出来ません。今以上の骨の喪失を止め、顎の先端を軽量化して生活しやすくするために全抜歯となりました。