石田ようこ 犬と猫の歯科クリニックTOP > 破折
破折
歯が折れた!
犬は硬いものをかじるのが好き、というイメージをお持ちの方は多いと思います
実は犬猫さんの歯は人の歯より強度が低く割れやすいことをご存知でしょうか?
歯の表面を覆うエナメル質は体の中で一番硬い組織ですが、犬の歯は人よりエナメル質の厚みが薄いのです。
また食べ物を噛み切るための奥歯はハサミの仕組みになっており、歯が反りやすくなおのこと折れやすい構造です。
様々なおもちゃやデンタルグッズが販売されていますが、飼い主様ご自身が噛み切れない硬さのものは愛犬・愛猫には与えないで下さい。
猫さんは網戸やカーテン、キャットタワーからの落下や猫さん同士のケンカで犬歯が折れる事故にもよく遭遇します。
万が一、歯が欠けた、折れた場合には、抜くしかないと諦めないで下さい。
人と同じように歯を修復し温存する治療も可能です。
(X線検査の結果、歯根が折れている場合には温存治療はできません)
当院ではマイクロスコープ(手術用顕微鏡)を使用し精緻な治療を実施します。
保存修復
欠けた断面にコンポジットレジンのかぶせものをつけて保護します。
-

典型的な平板破折です。奥歯の先端は折れてなくなった上に、付け根部分までヒビが入っています。
-

歯肉の中まで割れているので、歯肉を剥離し、歯の断面と破折片をきれいに整えた後接着します。(破折片は再利用できる場合と出来ない場合があります。)
-

なくなってしまった先端部分を作り直し、歯肉を戻して縫合しています。
生活歯髄切断
歯髄(歯の神経)を保護し生かした状態でコンポジットレジンのかぶせものをつけます
必ずラバーダム防湿をしてマイクロスコープにて治療します。
断髄には生体適合性の高いMTA、バイオセラミックなどを用いて神経保護をします。
6ヶ月後、2年後を目安にX線撮影による歯根と骨のチェックが必要です。
-

歯肉縁下(歯肉の中)まで破折し、神経も露出しています。
-

ラバーダムを装着し、歯髄保護を実施します。
-

歯肉を切開・剥離してから全体を修復します。
-

歯肉を戻し縫合しました。
抜髄根管充填
最も専門知識と繊細な技術が必要な高度治療で、歯髄(歯の神経)を取り除き、徹底的に洗浄して詰め物をし、かぶせものをつけます。
必ずラバーダム防湿を行い、マイクロスコープ下で治療します。
当院では手用ファイルに加え、NiTiロータリーファイルを使用しております。
6ヶ月後、1年後、その後1年に1回を目安にX線撮影による歯根と骨のチェックが必要です。
-

治療前の破折の様子
歯肉の中まで割れ目が入っていて破折片も既に失われています。歯髄(神経)が見えている部分も変色しています。(健康な歯髄はピンク色です。)
-

ラバーダム防湿
ラバーダム防湿を施します。口内の湿気を遮断し、また生体に有毒な洗浄液の漏出防止にもとても重要です。
-

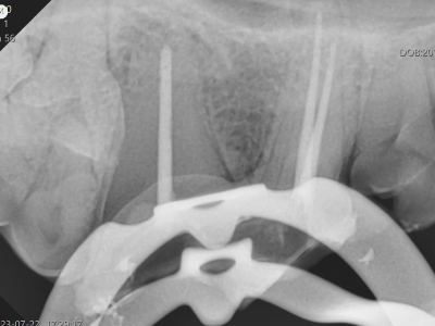
治療中のX線写真
治療中は何度もX線撮影し、歯内の状況を確認しながら治療を進めます。
-

治療完了後
この症例は破折片はなくなっていたので、失われた部分はすべてコンポジットレジンで形成しました。




